Tinh trùng đông đặc là một trong những nguyên nhân dẫn đến vô sinh hiếm
Để thụ tinh thành công, bên cạnh chất lượng trứng tốt cần phải có tinh
Trên thực tế vẫn còn nhiều người thắc mắc về vấn đề liệu rằng tinh
Tinh trùng sống được bao lâu sau khi xuất tinh là câu hỏi mà rất
Hội chứng Turner xảy ra do bất thường nhiễm sắc thể và chỉ ảnh hướng
Sau mỗi lần xuất tinh, để tinh trùng sản xuất với chất lượng và số
Trước khi xuất tinh, đầu dương vật của nam giới sẽ xuất ra dịch nhầy.
Nhiều người cho rằng, không quan hệ liên tục và thường xuyên sẽ giúp tinh
Tình trạng vô sinh ngày càng trở nên phổ biến, trở thành mối bận tâm
Theo thống kê của Tổ chức Y tế thế giới (WHO) thì Việt Nam đang
Tham vấn y khoa: Bác sĩ Lê Duy Thảo – Trung tâm IVF Hồng Ngọc
Có nhiều quan niệm và hiểu biết sai lầm về sự thụ tinh và quá
Một trong những yếu tố quyết định thành công của một ca IUI hay IVF
Chọc hút trứng là bước quan trọng khi làm thụ tinh trong ống nghiệm thường
Kỹ thuật bơm tinh trùng vào buồng tử cung là phương pháp hỗ trợ sinh
Hiến tinh trùng là phương pháp hỗ trợ sinh sản không còn xa lạ trong
Quan hệ xong tinh trùng chảy ra ngoài có thai được không là thắc mắc
Trong cộng đồng, mọi người thường được nghe thông tin “bệnh quai bị gây vô
Số lượng tinh trùng trong một lần xuất tinh của nam giới phụ thuộc vào
Tinh trùng có màu trắng trong, trong suốt là vấn đề mà rất nhiều đấng
Tinh trùng có màu hồng, màu đỏ hay màu nâu đỏ đều là những biểu
Giải pháp thay thế cho IUI là bơm tinh trùng vào nang noãn (IFI). Mặc
Các bất thường di truyền có thể gây ra nhiều hậu quả nghiêm trọng đối
Khi thực hiện một ca IVF, quan trọng nhất là quá trình tạo và chuyển
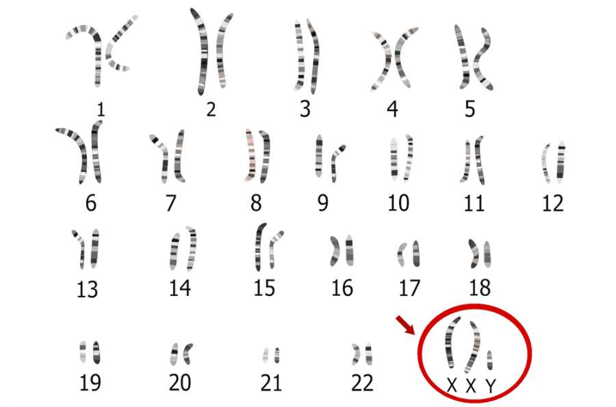
Hội chứng Klinefelter là một rối loạn di truyền ở nam giới và những người
Theo thông tin từ Tổ chức Y tế Thế giới thì vô sinh và hiếm
Trong các báo cáo gần đây cho thấy tỷ lệ vô sinh đến từ nam
Xét nghiệm beta HCG thường được tiến hành để kiểm tra kết quả thụ thai
Trữ lạnh tinh trùng là một trong những kỹ thuật lưu giữ tinh trùng, góp
Thụ tinh trong ống nghiệm (IVF) là phương pháp thụ tinh mà trứng được thụ tinh