Tác giả: Bác sĩ Phạm Thị Thùy Dương – Trưởng lâm sàng IVF Hồng Ngọc
Quá kích buồng trứng là biến chứng nghiêm trọng của kích thích buồng trứng ở các phương pháp hỗ trợ sinh sản. QKBT đe dọa tính mạng ở mức độ nghiêm trọng vì nó có thể gây ra các biến chứng như huyết khối tĩnh mạch hoặc động mạch, bao gồm đột quỵ và thiếu máu chi dưới.
Quá kích buồng trứng là gì?
Ovarian hyperstimulation syndrome (OHSS) hay Hội chứng quá kích buồng trứng (QKBT) xảy ra khi buồng trứng bị kích thích quá mức và tăng kích thước do sử dụng thuốc điều trị vô sinh (hoặc hiếm gặp do đột biến của thụ thể FSH).
QKBT đặc trưng bởi cảm giác trướng bụng khó chịu, tăng kích thước buồng trứng và có dạng nang, xuất hiện dịch màng bụng.
Sinh bệnh học của QKBT là tình trạng tăng tính thấm thành mạch và sự dịch chuyển dịch từ lòng mạch sang không gian thứ ba.

Ở những bệnh nhân nhạy cảm, sử dụng hCG để trưởng thành nang trứng và kích hoạt rụng trứng là sự kích thích chính dẫn đến tình trạng này, do sự sản xuất quá mức yếu tố tăng trưởng nội mô mạch máu (VEGF) tại buồng trứng, làm tăng tính thấm của thành mạch, mất chất lỏng vào không gian thứ ba và gây ra các biểu hiện của QKBT.
Có hai dạng QKBT trên lâm sàng, cả hai đều liên quan đến hCG:
+ Dạng khởi phát sớm (xuất hiện trong 8 ngày đầu sau khi dùng hCG)
+ Dạng khởi phát muộn (xảy ra chín ngày trở lên sau khi dùng hCG, liên quan đến hCG do mang thai sản xuất).
Tỷ lệ quá kích buồng trứng
QKBT có khả năng đe dọa tính mạng ảnh hưởng đến bệnh nhân trẻ, khỏe mạnh. Tình trạng này có thể tạo nên gánh nặng kinh tế quan trọng do phải nghỉ làm, nghỉ ngơi tại giường hoặc nhập viện và chi phí điều trị ở những trường hợp nặng.
Mặc dù rất hiếm gặp tình trạng QKBT nghiêm trọng, nhưng tình trạng rối loạn điện giải có thể gây tử vong ở phụ nữ trẻ đang điều trị vô sinh.

Tỷ lệ QKBT phụ thuộc vào từng tình huống lâm sàng:
– Khi kích thích rụng trứng trên nhóm bệnh nhân được kích thích buồng trứng bởi clomiphene citrate hoặc ức chế aromatase để giao hợp theo thời gian hoặc IUI, có thể gây tăng kích thước buồng trứng với QKBT mức độ nhẹ, hiếm khi thấy QKBT mức độ trung bình đến nặng.
– Trong IVF, tỷ lệ mắc QKBT mức độ trung bình và nặng lần lượt là 3-6% và 0,1-2%.
– Trong một nghiên cứu tổng hợp về các chu kỳ IVF, tỷ lệ mắc OHSS nghiêm trọng đã được ghi nhận theo thời gian là: từ 0,06% năm 1987 lên 0,24% năm 1996.
– Tổ chức Y tế Thế giới (WHO) ước tính tỷ lệ mắc OHSS nặng là 0,2 đến 1% trong tất cả các chu kỳ kích thích buồng trứng.
Các trường hợp xảy ra quá kích buồng trứng
– Sử dụng gonadotropin kích thích buồng trứng với đáp ứng buồng trứng quá mức, biểu hiện bằng sự phát triển nhiều nang trứng, nồng độ estradiol huyết thanh cao và tăng kích thước của buồng trứng.
– Sử dụng hCG ngoại sinh để kích hoạt các bước cuối cùng của quá trình trưởng thành tế bào trứng.
– Sản xuất và giải phóng các chất tăng trưởng nội mô mạch máu bởi các tế bào hạt của hoàng thể.
– Liên kết các chất được sản xuất với các thụ thể của chúng và kích hoạt tín hiệu xuôi dòng, dẫn đến tăng tính thấm thành mạch.
– Mang thai sau khi kích thích buồng trứng, trong đó sự tăng tiết hCG từ nhau thai có thể kích thích tăng tiết VEGF từ buồng trứng.
Các trường hợp có nguy cơ mắc quá kích buồng trứng
Một số trường hợp có nguy cơ mắc QKBT:
– Đã từng bị QKBT.
– Hội chứng buồng trứng đa nang (PCOS)
– Các dấu ấn sinh học tiềm ẩn nguy cơ: Nồng độ AMH trong huyết thanh cơ bản> 3,3 ng / mL và số lượng nang noãn (AFC)> 8.
– Các yếu tố nguy cơ thứ phát liên quan đến phản ứng buồng trứng:
– Số lượng nang trứng (nguy cơ tăng lên với số lượng nang trứng > 10 mm đường kính hơn 20).

– Nồng độ estradiol huyết thanh cao (hoặc tăng nhanh). Trong một báo cáo, tỷ lệ mắc OHSS ở phụ nữ có nồng độ estradiol huyết thanh tiền điều trị> 3500 pg / mL (12.850 pmol / L) hoặc> 6000 pg / mL (22.028 pmol / L) lần lượt là 1,5 và 38%.
– Số lượng tế bào trứng thu được trong chu kỳ thụ tinh trong ống nghiệm: nguy cơ tăng lên khi số lượng tế bào trứng tăng lên.
– Sử dụng gonadotropin màng đệm ở người (hCG) thay vì progesterone để hỗ trợ giai đoạn hoàng thể.
– Mang thai, không chỉ làm tăng nguy cơ mắc QKBT muộn mà còn tăng thời gian và mức độ nghiêm trọng của QKBT do sự kích thích kéo dài bởi hCG nội sinh.
Biểu hiện lâm sàng của quá kích buồng trứng
Biểu hiện lâm sàng của QKBT là do tăng kích thước buồng trứng (có thể gây khó chịu ở bụng) và tăng tính thấm thành mạch, dẫn đến tích tụ dịch trong khoang bụng.
– QKBT “sớm” thường ở mức độ nhẹ đến trung bình và bắt đầu từ 4 đến 7 ngày sau khi dùng thuốc kích rụng trứng (hCG).
– QKBT “muộn” thường bắt đầu ít nhất 9 ngày sau khi dùng liều hCG rụng trứng trong chu kỳ có đậu thai.
QKBT muộn nghiêm trọng hơn vì tăng hCG của thai kỳ làm trầm trọng thêm quá trình QKBT. Các triệu chứng ban đầu bao gồm trướng bụng và có thể đau do tăng kích thước của buồng trứng và tích tụ dịch bụng.
QKBT có thể được phân thành bốn giai đoạn dựa trên mức độ nghiêm trọng của các triệu chứng, dấu hiệu và kết quả xét nghiệm.

QKBT mức độ nhẹ
QKBT nhẹ được đặc trưng bởi sự tăng kích thước buồng trứng hai bên với nhiều nang noãn và hoàng thể, trướng bụng và khó chịu, buồn nôn nhẹ, có thể gặp cả nôn và tiêu chảy, không có bất thường sinh hóa.
QKBT nhẹ thường thấy sau khi kích thích buồng trứng với gonadotropin để thụ tinh trong ống nghiệm ở phụ nữ có phản ứng buồng trứng mạnh. Thông thường, không cần chăm sóc đặc biệt, nhưng cần theo dõi toàn trạng của bệnh nhân.
QKBT mức độ vừa
Các đặc điểm lâm sàng bao gồm đặc điểm của QKBT nhẹ cộng với bằng chứng siêu âm của dịch ổ bụng. Tăng kích thước buồng trứng lên đến 12 cm trong chiều dài nhất của chúng. Khó chịu ở bụng và các triệu chứng tiêu hóa (ví dụ, buồn nôn, nôn và tiêu chảy) thường xuyên và nặng hơn so với QKBT nhẹ.
Biểu hiện trên xét nghiệm: hematocrite > 41%, WBC>15.000 / micro, hạ protein máu.
QKBT mức độ nặng
Ngoài những biểu hiện của QKBT mức độ vừa, QKBT nặng được xác định bằng sự xuất hiện của dịch ổ bụng với cơn đau bụng dữ dội, ở một số bệnh nhân còn có tràn dịch màng phổi.
Phụ nữ bị QKBT nặng có thể tăng cân từ 15 đến 20 kg trong vòng 5 đến 10 ngày và biểu hiện tăng bạch cầu tiến triển. Cổ trướng và tràn dịch màng phổi có thể ảnh hưởng đến chức năng phổi, dẫn đến thiếu oxy.
Thương gặp tình trạng hạ đường huyết, thiểu niệu hoặc vô niệu, buồn nôn. Mức độ creatinine trên 1,6 mg / dL.
Biểu hiện trên xét nghiệm: hematocrit> 55 %, WBC> 25.000 / microL và mất cân bằng điện giải (hạ natri máu, tăng kali máu). Sự cô đặc máu làm tăng nguy cơ mắc bệnh huyết khối.
QKBT mức độ trầm trọng
Chức năng của các cơ quan và hệ thống quan trọng bị tổn hại nghiêm trọng.
Vô niệu với suy thận cấp, rối loạn nhịp tim, suy hô hấp và đông máu nội mạch lan tỏa (huyết khối tĩnh mạch và động mạch) có thể dẫn đến tử vong.
Tràn dịch màng phổi kèm theo tràn dịch màng ngoài tim. Nhiễm trùng huyết và hội chứng suy hô hấp cấp tính (ARDS) có thể làm phức tạp thêm hình ảnh lâm sàng.

Các biến chứng cụ thể trong QKBT
Xoắn buồng trứng
Bất cứ khi nào thể tích buồng trứng tăng lên, đều sẽ nguy cơ bị xoắn buồng trứng.
Biến chứng này được đặc trưng bởi sự tăng kích thước buồng trứng, đau bụng, buồn nôn, nôn, hạ huyết áp, tăng bạch cầu tiến triển và thiếu máu. Xoắn buồng trứng có thể phải cần tới phẫu thuật.
Hiện tượng máu đông
Hiện tượng máu đông là không thường xuyên xảy ra, nhưng là một trong số các biến chứng nghiêm trọng nhất của QKBT.
Hiện tượng máu đông có thể xảy ra ở động mạch (25%) hoặc tĩnh mạch (75%) và có thể dẫn đến tổn thương thần kinh vĩnh viễn hoặc gây tử vong.
Các biến chứng máu đông của QKBT có thể được hình thành trong các mạch máu trong, dưới màng cứng, nách và mạc treo. Máu đông trong mạch máu não thường biểu hiện dưới dạng nhồi máu do thiếu máu cục bộ.
Một số chuyên gia khuyên rằng phụ nữ bị máu đông cơ bản (ví dụ thiếu hụt antithrombin III, đột biến yếu tố V và thiếu protein C hoặc S) nên được điều trị dự phòng (như điều trị bằng heparin liều thấp) trước khi gây rụng trứng, để ngăn ngừa biến chứng huyết khối.
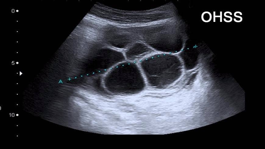
Chẩn đoán quá kích buồng trứng
Chẩn đoán QKBT bằng tiền sử lâm sàng và siêu âm qua ngả âm đạo, cần có tiền sử kích thích buồng trứng và sau đó là xét nghiệm hCG.
Tuy nhiên, các rối loạn khác dẫn đến đau vùng chậu và có thể là thai ngoài tử cung, u nang xuất huyết, u nang buồng trứng bị vỡ và xoắn buồng trứng. Những rối loạn này, khi liên quan đến xuất huyết ổ bụng (hoặc hemoperitoneum do lấy tế bào trứng) có thể tương tự như QKBT (buồng trứng mở rộng, trướng bụng và đau).
Những yếu tố dự đoán QKBT gồm có số lượng tế bào trứng thu thập, estradiol tối đa và số lượng phôi được chuyển.
Sau khi chẩn đoán QKBT được thực hiện, mức độ nghiêm trọng của bệnh phải được phân loại thành nhẹ, trung bình, nặng hoặc nguy kịch.
ĐĂNG KÝ TƯ VẤN MIỄN PHÍ:
Mọi chi tiết xin vui lòng liên hệ:
Trung tâm IVF Hồng Ngọc – Bệnh viện Đa khoa Hồng Ngọc
Cơ sở 1:
Add : Tầng 14, số 55 Yên Ninh, Ba Đình, Hà Nội
Hotline: 0915.960.139 – 0915.330.016
Fanpage: https://www.facebook.com/ivfhongngoc2014
Cơ sở 2:
Add: Tầng 12, số 8 Châu Văn Liêm, Nam Từ Liêm, Hà Nội
Hotline: 0911.053.794 – 0886.042.084
Xem thêm các bài viết khác của Trung tâm hỗ trợ sinh sản IVF Hồng Ngọc:
Tại sao bố mẹ bình thường sinh con mắc bệnh do bất thường di truyền?
English